
生育是女人的天職,但是對於一位陰道細如羊腸、子宮只有2公分大小,卻想要懷孕的女人而言,卻是心中夢魘。目前只有等待「代理孕母法」儘速立法通過,才可提高懷孕機率。
婦產科醫師蔡鋒博指出,一位女性結婚5年,現年才29歲,卻罹患不孕症5年,近日來求診,問診中,自述表達想要懷孕,並帶了一張醫學中心做的MRI核磁共振檢查光碟,資料顯示,患者子宮只有2公分長度(正常是7公分),且陰道細如羊腸。
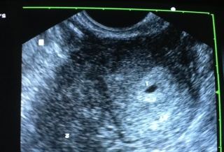
由於沒有子宮頸,不能生小孩。蔡鋒博醫師質疑,如果沒有子宮頸,她怎麼會有月經小小點狀出血?因此,幫她做了陰道超音波,雖然卵巢功能正常,但卻發現子宮頸有一個小小的洞口,但是面對這樣一個子宮小於2公分,陰道細如羊腸的患者,初步研判,自然懷孕機率幾乎等於零。
真正讓子宮擴大的除了動情激素之外,胚胎著床在子宮內,透過懷孕本身,撐大子宮,但問題最大的挑戰,在於她的子宮內膜壁很薄,著床不容易,因此這需要1至3個月荷爾蒙調理,但不一定能使子宮「擴廠」計畫成功。
盼代理孕母法通過圓生子夢
若真的懷孕了,流產比率和早產的比率,將比正常婦女高出一倍,因此建議患者等代理孕母合法之後,找代理孕母比較實際,因為這是很罕見病例,雖然能正常性行為,但卻無法自然或是人工受孕。
蔡鋒博醫師強調,目前全國有76萬左右的不孕男女,不管是先天或後天的原因,缺乏了傳宗接代所必需的生殖細胞,或是缺少足以孕育胎兒的子宮,都將不易受孕,這是不可彌補的身體缺陷,應被公平地視為生殖機能上的「殘障者」。
而由於現代醫學的進步,世界其他國家對代孕生殖技術及所衍生的問題,紛紛立法加以規範。因此建議政府應儘速將「代理孕母法」立法完成,透過生殖技術,讓這位女性「殘缺的夢」早日實現。